«Один випадок на мільйон»: у Китаї жінка з рідкісною подвійною маткою народила двійню
«Украй рідко двійнята зачинаються природним шляхом у кожній порожнині матки, і ще рідше вони виношуються до терміну».

У вересні в лікарні на північному заході Китаю жінка з рідкісним захворюванням двох маток народила двійню — по одній дитині з кожної матки, повідомляє CNN із посиланням на китайських чиновників охорони здоров'я та державні ЗМІ.
Мати, лише прізвище якої відомо (Лі), народила хлопчика і дівчинку шляхом кесаревого розтину, повідомили в Сіаньській народній лікарні в провінції Шеньсі, назвавши цей випадок «одним на мільйон».
«Украй рідко двійнята зачинаються природним шляхом у кожній порожнині матки, і ще рідше вони виношуються до терміну», — йдеться у повідомленні лікарні на її офіційній сторінці в китайській соціальній мережі Weibo від 18 вересня.
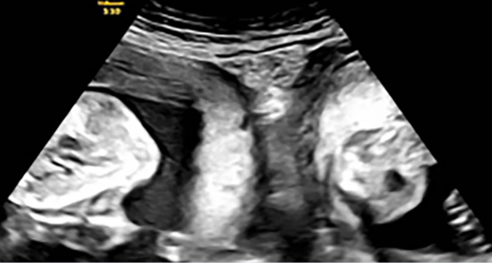
За даними лікарні, новоспечена мама народилася з двома шийками та двома матками — стан, який називається дідельфіс матки, зустрічається приблизно в 1 з 2 000 жінок.
Її історія захопила китайські соціальні мережі та стала популярною темою, набравши за останні дні понад 50 млн переглядів, причому багато користувачів ділилися повідомленнями, сповненими побожності.
Попередня вагітність пані Лі закінчилася викиднем. Але в січні жінка завагітніла знову й під час раннього УЗД виявила, що чекає не одну дитину, а двійню — по одній дитині в кожній матці.
Після «ретельного і суворого» медичного спостереження вона «успішно» народила хлопчика вагою 3 кг 700 г і дівчинку вагою 2 кг 800 г, повідомили в лікарні.
Більше новин читайте на GreenPost.



