Знімки легень у пацієнтів з Китаю: патологія очевидна
Медики показали, як змінюються легені хворої на коронавірус SARS-CoV-2 людини з прогресуванням захворювання

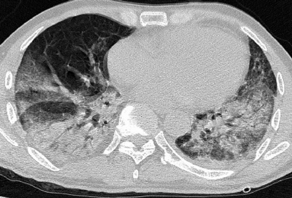
Коронавірусна інфекція COVID-19 у важких випадках захворювання призводить до атипової пневмонії. Це наочно продемонстрували медики, які показали КТ-знімки легень у пацієнтів з Китаю: на фото, що розміщені в публікації Радіологічної спільноти Північної Америки, простежується розвиток патології.
Зокрема медики звернули увагу на те, що рідина, яка накопичується в легенях в результаті шкідливого впливу вірусу на організм людини, поступово займає все більшу частину органу.
Також зазначається, що найбільш характерними ознаками пневмонії від COVID-19 були: периферійний розподіл ураження, симптом "матового скла" (туманне, матове зниження прозорості легеневої тканини з диференційованим малюнком судин і бронхів на цьому тлі), потовщення стінок судин.
Нагадаємо, вчора, 11 березня, ВООЗ оголосила про пандемію коронавірусу COVID-19. Найбільш розповсюдженими симптомами COVID-19 є лихоманка, сухий кашель та відчуття втоми, стверджує Всесвітня організація охорони здоров’я (ВООЗ).







