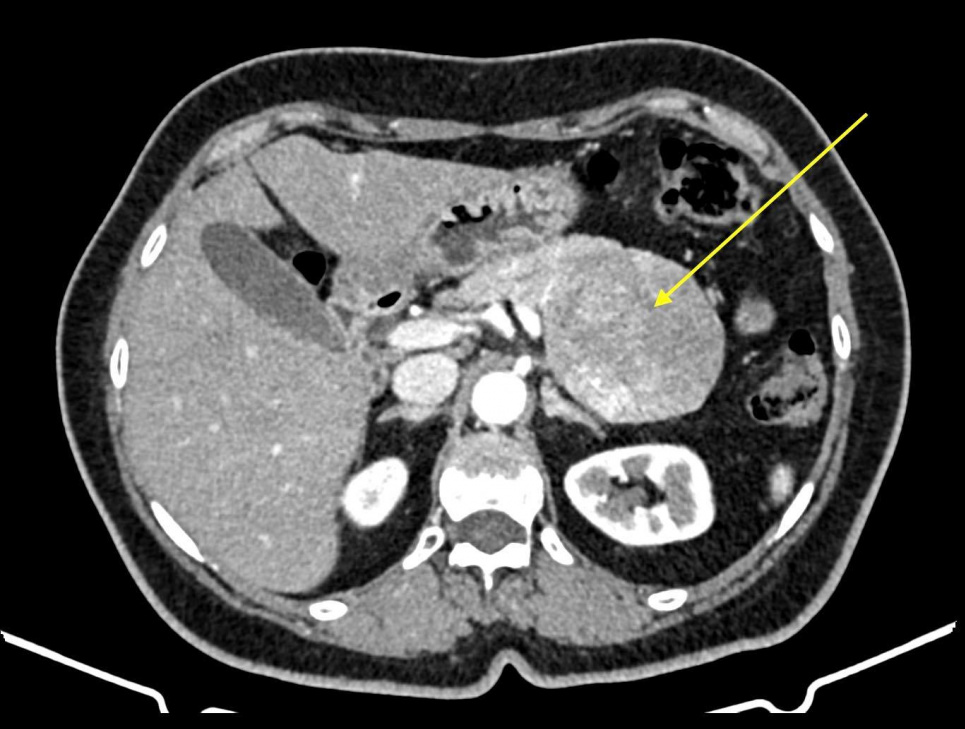
Одеські лікарі провели складну малоінвазивну операцію з видалення пухлини підшлункової залози (ФОТО)
Хірургія пухлин підшлункової залози – один з найскладніших напрямів абдомінальної хірургії.

У Міській клінічній лікарні №1 м. Одеси успішно проведено складну малоінвазивну операцію з видалення пухлини підшлункової залози. Про це йдеться на Фейсбук сторінці головного лікаря “Комунальна установа “Міська клінічна лікарня №1” Євгена Григор`єва.
Хірургія пухлин підшлункової залози – один з найскладніших напрямів абдомінальної хірургії. Подібні операції зазвичай виконуються лише у закладах охорони здоров’я обласного рівня та науково-дослідницьких інститутах.
"Завдяки блискучій співпраці хірургів, індивідуальному анестезіологічному та лікувальному супроводу, а також підтримці адміністрації лікарні, та особисто директора лікарні, нам вдалося провести цю високотехнологічну операцію сучасним малоінвазивним методом", – лапароскопічно. йдетьяся у повідомленні.
Пухлину було успішно видалено через мініатюрні розрізи/проколи, що мінімізує травматичність і пришвидшує одужання пацієнта.
"Цей випадок є яскравим прикладом того, як новітні технології та професіоналізм нашої команди здатні рятувати життя навіть у найскладніших ситуаціях! Дякуємо всім, хто був залучений до цього процесу", - пишуть від імені закладу.
Більше новин читайте на GreenPost.







